Врачи из ЯНАО активно помогают специалистам и пациентам из Волновахи

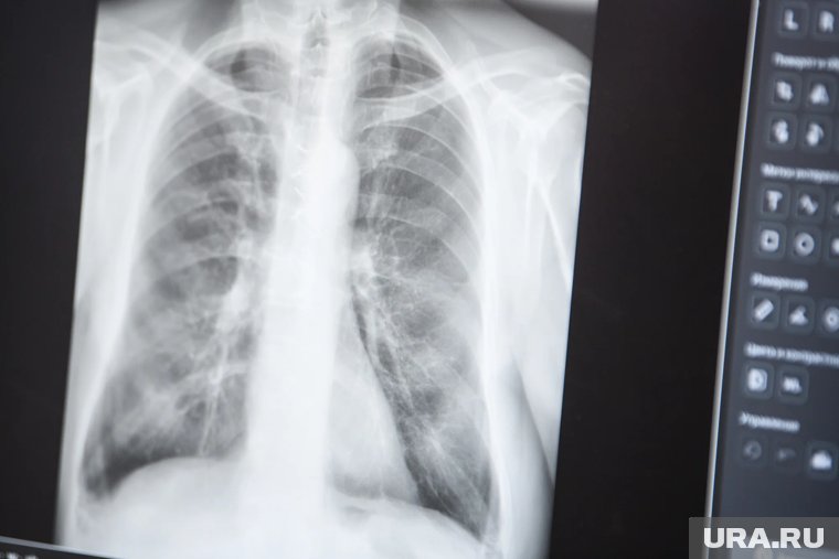
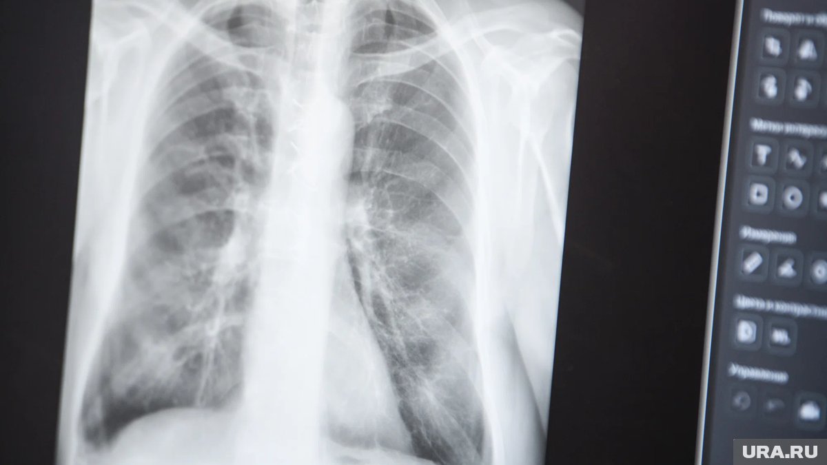
С начала 2025 года ямальские рентгенологи дистанционно описали более 1,5 тысячи снимков пациентов из Волновахи (ДНР). Врачи отделений Салехарда и Ноябрьска с января приняли и проанализировали 1012 компьютерных томографий, 350 рентгеновских снимков, 100 маммографий и 40 флюорографий, выполненных в Волновахской городской больнице. Об этом сообщили в правительстве ЯНАО.
«С начала года ямальские рентгенологи прочитали 1,5 тысячи снимков пациентов из Волновахского округа. Врачи рентгенологических отделений Салехарда и Ноябрьска дистанционно описали 1012 компьютерных томографий, 350 рентгеновских снимков, 100 маммографий и 40 флюорографий», — написано на сайте ведомства.
Современные телемедицинские технологии и защищенные каналы связи позволяют ямальским специалистам быстро реагировать на сложные медицинские случаи в отдаленном регионе. Так, например, среди наиболее частых патологий встречаются воспалительные процессы в легких, в том числе пневмонии, а также последствия осколочных и пулевых ранений, онкологические заболевания легких, молочной и поджелудочной желез.
Все исследования, выполненные в Волновахской больнице, в цифровом формате передаются в референс-центры Ямала для дистанционного анализа. Заключения возвращаются волновахским врачам в течение нескольких часов и используются для постановки точного диагноза и назначения лечения. Такой подход обеспечивает доступность специализированной медицинской помощи вне зависимости от удаленности региона и позволяет поддерживать высокий уровень диагностики.
Дистанционное прочтение лучевых исследований пациентов из Волновахского округа организовано с 1 ноября 2024 года. Благодаря слаженному взаимодействию с ямальскими медорганизациями пациенты Волновахи получают оперативные и точные заключения, а местные врачи — экспертную поддержку. С июля 2023 года ямальские медики оказывают комплексную помощь коллегам из Волновахи: порядка 95 профильных специалистов выезжали в округ для запуска нового корпуса стационара, восстановления амбулаторной и стационарной помощи, а также внедрения современных хирургических технологий.
Сохрани номер URA.RU - сообщи новость первым!
Что случилось в ЯНАО? Переходите и подписывайтесь на telegram-канал «Округ белых ночей», чтобы узнавать все новости первыми. Теперь мы и в MAX!