У свердловчан нашли пять тысяч патологий легких

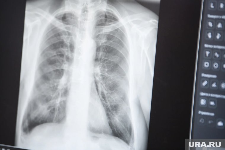
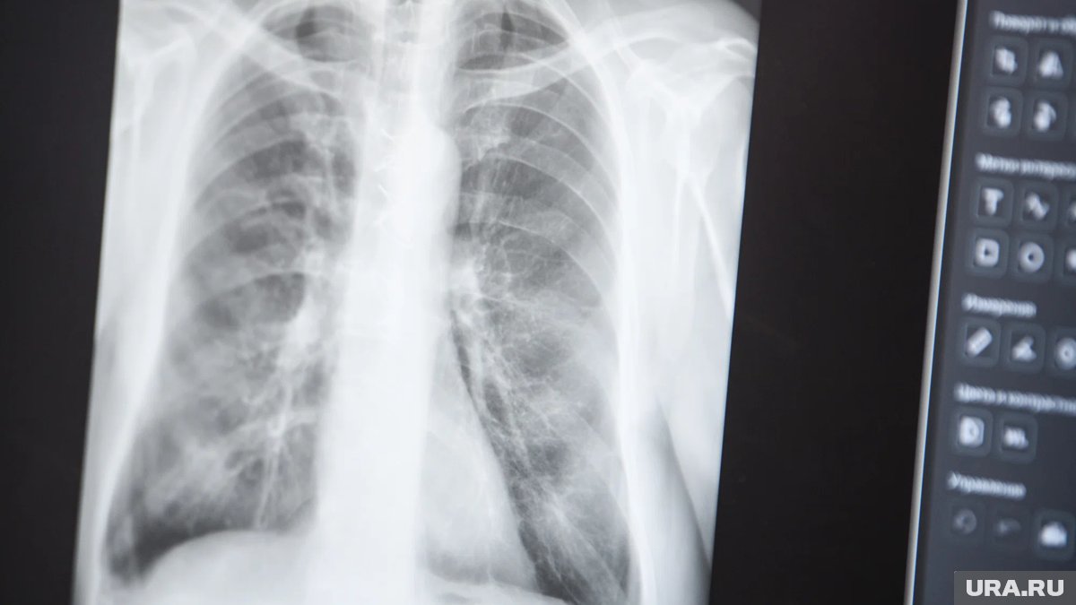
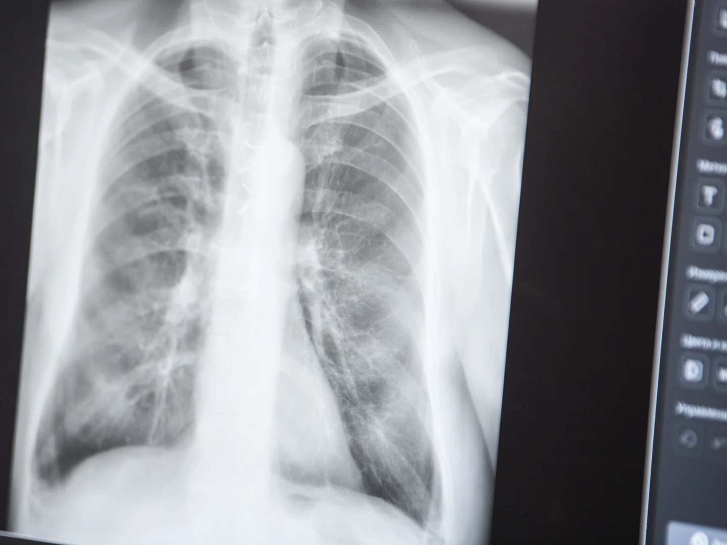
В Свердловской области за последние девять месяцев у жителей обнаружили более 5,8 тысячи разных патологий легких. Их удалось выявить во время профилактических осмотров, рассказали в департаменте информполитики региона.
«В структуре впервые выявленных заболеваний диспансеризация помогла диагностировать 13 случаев туберкулеза. Также обнаружены 198 злокачественных новообразований трахеи, бронхов, легкого, причем 51,5% раковых опухолей медикам удалось выявить на ранних стадиях», — поделилась главный внештатный специалист по медицинской профилактике областного минздрава Дарья Белова.
На данный момент подобные осмотры прошли порядка 1,3 миллиона жителей. Чтобы повысить доступность процедуры, специалисты выезжают на мобильных кабинетах в различные населенные пункты и учреждения.
Сохрани номер URA.RU - сообщи новость первым!
Что случилось в Екатеринбурге и Нижнем Тагиле? Переходите и подписывайтесь на telegram-каналы «Екатское чтиво» и «Наш Нижний Тагил», чтобы узнавать все новости первыми. Теперь мы и в MAX!